Locations:
Search IconSearch
June 10, 2020/News Releases

NIH Awards Cleveland Clinic $7.2 Million to Study New Diagnostic Biomarker in Multiple Sclerosis

Grant to support multi-center study aimed at improving accuracy of MS diagnoses

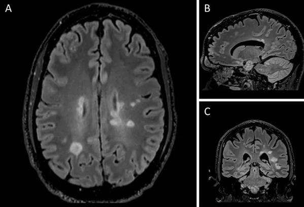
MS – CVS (crop) 20-NEU-1845659-CQD-Ontaneda_Grant-to-study-central-vein-sign-in-MS_805x1090-Inset-A
MRI images show central vein sign (CVS), a potential diagnostic biomarker for MS.

The National Institutes of Health has awarded $7.2 million to a Cleveland Clinic-led research team to improve accuracy of multiple sclerosis (MS) diagnoses.

The grant will support a multi-center study to evaluate whether a new biomarker, known as the central vein sign (CVS), can serve as a reliable diagnostic marker for MS. The study is funded through the National Institutes of Neurological Disorders and Stroke’s Clinical Validation of a Candidate Biomarker for Neurological Disease Program Announcement.

“Up to 20% of MS diagnoses turn out to be inaccurate,” said the study’s co-principal investigator, Daniel Ontaneda, M.D., Ph.D., of Cleveland Clinic’s Mellen Center for Multiple Sclerosis. “Our new multicenter study aims to reduce that number by evaluating if this new biomarker can improve diagnostic accuracy and simplify clinical decision-making.”

The prospective study, referred to as CAVS-MS, will enroll 400 patients with typical or atypical presentations of MS at 11 participating centers in North America, with Cleveland Clinic serving as the coordinating center. The study is being conducted under the auspices of the North American Imaging in MS Cooperative and will be led by Dr. Ontaneda and Dr. Nancy Sicotte, at Cedars-Sinai in Los Angeles.

The CVS is an MRI-based biomarker identified in MS-associated white matter lesions. CVS criteria — scoring of a brain MRI based on the presence of the CVS — have been well validated as a sensitive and specific marker of MS in cross-sectional studies.

“We aim to show that the CVS is a simple and reliable diagnostic biomarker that can be immediately translated into clinical care,” Dr. Ontaneda explains. “We are evaluating if this sign can improve sensitivity and specificity relative to current approaches and streamline the clinical decision-making process.”

The need for improved diagnostic methods in MS is widely recognized. Although MRI is a longstanding tool for detecting MS lesions, diagnostic inaccuracies persist. Up to 1 in 5 people diagnosed with MS are later found not to have the disease, Dr. Ontaneda notes.

Currently the diagnosis of MS is based on criteria that are uninformative for the nearly half of MS patients with atypical presentations. Timeliness of diagnosis is also key, as diagnostic delay is common in relapsing-remitting MS and can carry severe and lifelong consequences.

The primary objective is to determine whether use of CVS criteria allows for an earlier accurate diagnosis of MS in patients who do not meet the McDonald criteria at baseline.

The researchers will also begin exploratory studies of optimal methods for integrating CVS findings into MS diagnostic criteria, along with any resulting healthcare-related cost savings.

“These initial exploratory analyses will be important to how readily positive findings about the utility of CVS criteria can impact clinical practice,” says Dr. Ontaneda. “The ultimate goal is to have the CVS incorporated into the MS diagnostic criteria.”

About Cleveland Clinic

Cleveland Clinic is a nonprofit multispecialty academic medical center that integrates clinical and hospital care with research and education. Located in Cleveland, Ohio, it was founded in 1921 by four renowned physicians with a vision of providing outstanding patient care based upon the principles of cooperation, compassion and innovation. Cleveland Clinic has pioneered many medical breakthroughs, including coronary artery bypass surgery and the first face transplant in the United States. Cleveland Clinic is consistently recognized in the U.S. and throughout the world for its expertise and care. Among Cleveland Clinic’s 82,600 employees worldwide are more than 5,786 salaried physicians and researchers, and 20,700 registered nurses and advanced practice providers, representing 140 medical specialties and subspecialties. Cleveland Clinic is a 6,728-bed health system that includes a 173-acre main campus near downtown Cleveland, 23 hospitals, 280 outpatient facilities, including locations in northeast Ohio; Florida; Las Vegas, Nevada; Toronto, Canada; Abu Dhabi, UAE; and London, England. In 2024, there were 15.7 million outpatient encounters, 333,000 hospital admissions and observations, and 320,000 surgeries and procedures throughout Cleveland Clinic’s health system. Patients came for treatment from every state and 112 countries. Visit us at clevelandclinic.org. Follow us at x.com/CleClinicNews. News and resources are available at newsroom.clevelandclinic.org.

Editor’s Note: Cleveland Clinic News Service is available to provide broadcast-quality interviews and B-roll upon request. 

Latest from the Newsroom

Illustration of digital medical records
AI-Driven Chart Review Accurately Identifies Potential Rare Disease Trial Participants in New Study
A woman stretches before exercising.
Cleveland Clinic Establishes Women’s Integrated Sports, Exercise and Research Center
Cleveland Clinic President and CEO Tom Mihaljevic, M.D., with Greater Cleveland Food Bank President & CEO Kristin Warzocha.
Cleveland Clinic Pledges $50 Million to Address Hunger
Exterior of the Miller Family Pavilion
Cleveland Clinic Ranked No. 3 Hospital in the World by Newsweek
Jerry Estep, M.D., examines a patient.
Cleveland Clinic Florida Receives $3 Million Gift to Establish Endowed Chair in Cardiovascular Medicine
Artist's rendering of new Palm Beach hospital.
Cleveland Clinic Highlights Growth and Strategic Momentum in Palm Beach County
Photo of golfer with logos
Cleveland Clinic, PGA TOUR launch long-term partnership focused on player health, performance and longevity
Infographic showing results of the 2026 Heart Month survey
Cleveland Clinic Survey Finds Americans Optimistic about Aging Well, But Many Overlook Heart Disease Risks